
BioClear - Hampton, NH
A Modern Solution for a Better Smile
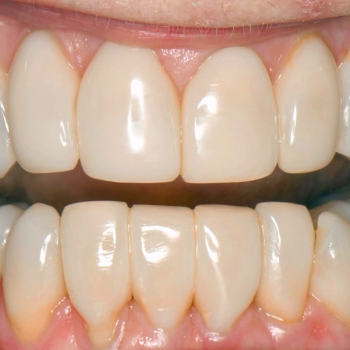
At Oceanside Family Dental, we’re excited to offer BioClear, an innovative cosmetic treatment that can transform smiles quickly and effectively. BioClear often provides an excellent alternative to traditional bonding, veneers, or crowns, helping patients achieve long-lasting, natural-looking results without extensive tooth preparation.
WHY CHOOSE OCEANSIDE FAMILY DENTAL FOR BIOCLEAR??
- Experienced cosmetic dental team
- Personalized care in a welcoming environment
- State-of-the-art technology close to home in Hampton, NH
What Is BioClear?

Introduced in 2007, BioClear has quickly become one of the most popular advancements in cosmetic dentistry. Using specialized matrices (molds), heated composite resin is carefully applied and shaped around your tooth to correct flaws and create a smooth, beautiful appearance.
Who Can Benefit from BioClear?

BioClear is a versatile solution that can improve:
- Chipped, worn, or fractured teeth
- Deep stains or discoloration
- Black triangles caused by gum recession or orthodontics
- Small gaps between teeth
- Small gaps between teeth
If you’re bothered by these concerns, our team in Hampton, NH, can help determine if BioClear is the right option for you.
The BioClear Process

Treatment is simple and minimally invasive:
- Teeth are cleaned and prepared.
- A mold (matrix) is placed around the tooth.
- Composite resin is injected, shaped, and hardened with a curing light.
- Final adjustments and polishing are made for a seamless finish.
Most patients can complete their BioClear treatment in a single visit.
Benefits of BioClear

Patients love BioClear because it offers:
- Natural-looking, long-lasting results
- Minimal or no alteration of natural teeth
- One-visit convenience
- A more affordable alternative to veneers or crowns
- The option to reverse treatment in the future
- A healthier smile, since the resin seals spaces where bacteria can collect
If you’re bothered by these concerns, our team in Hampton, NH, can help determine if BioClear is the right option for you.
